Last updated: 16 ก.ค. 2565 | 25899 จำนวนผู้เข้าชม |
ผลลัพธ์อาจแตกต่างกันไป แล้วแต่บุคคล
การอักเสบของชั้นไขมันใต้ผิวหนัง Erythema Nodosum คืออะไร ดูแลได้อย่างไร ?
การอักเสบของชั้นไขมันใต้ผิวหนัง Erythema Nodosum
Erythema nodosum คือการอักเสบของชั้นไขมันใต้ผิวหนัง โดยมีปัจจัยกระตุ้นเช่น การติดเชื้อ ยา รวมทั้งโรคของทางรูมาโตเช่น รูมาตอยต์ โรคsle เส้นเลือดอักเสบ เบเช็ท
•อาการ ก้อน แดง กดเจ็บ พบตามหน้าแข้ง
อาจพบร่วมกับ ข้ออักเสบ ไข้ ปวดเมื่อย พบบ่อย ในผู้หญิง
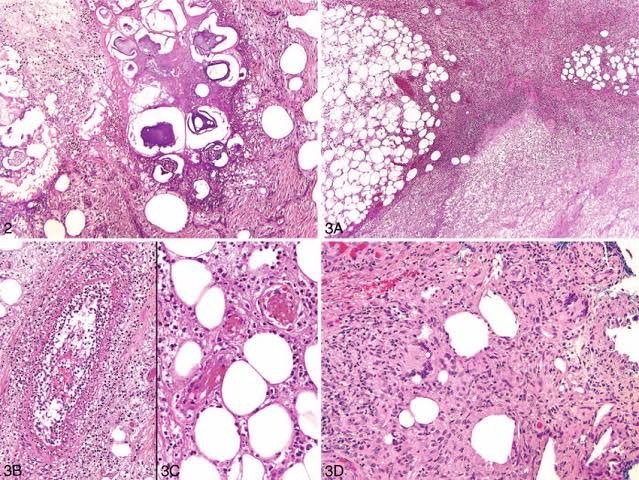
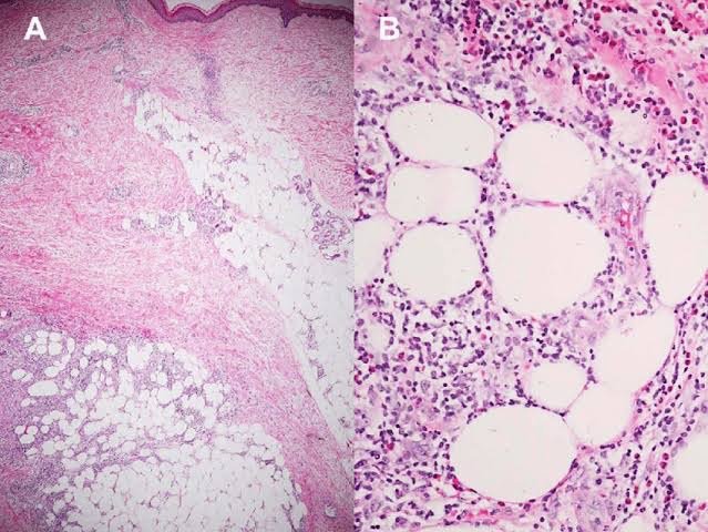
•วินิจฉัยโดย ตัดชิ้นเนื้อไปตรวจ Skin Biopsy พบเป็นลักษณะของชั้นไขมันอักเสบ septal panniculitis without vasculitis
•การรักษา นอนพัก ยกขาสูง ยากลุ่มNsaids
Colchicine Prednisolone





..
การอักเสบของชั้นไขมันใต้ผิวหนัง Erythema Nodosum เป็นการอักเสบของเนื้อเยื่อไขมันใต้ผิวหนัง เป็นตุ่มนูนแดง บริเวณขา ต้นขา แขนและส่วนอื่น ๆ ของร่างกาย โรคนี้พบได้บ่อยในผู้หญิงวัยรุ่น แต่ในเพศอื่น ๆ ก็เป็นได้
สาเหตุ : สาเหตุที่พบได้บ่อย เช่น ยาคุมกำเนิด เพนนิซิลิน ยาซัลฟา การติดเชื้อ โรคอื่น Sarcoidosis, ulcerative colitis , Crohn’s disease , lupus , ท้อง และสาเหตุอื่น ๆ อีกมากที่ไม่ทราบสาเหตุ
อาการตุ่มนูนแดงที่ขา จะปวด บวม แดงร้อน และกดเจ็บและเกิดทันที ตุ่มนูนจะพัฒนาจากสีชมพู แดงและแดงม่วง และกลายเป็นน้ำตาลภายใน7-10วัน และหายภายใน 8สัปดาห์ หากมีอาการขึ้นใหม่จะใช้เวลาในการรักษานานกว่าเดิมเป็นสัปดาห์หรือเป็นเดือน ไข้และบวมที่เข่าและข้อเท้า
การวินิจฉัย จากการปวดบริเวณที่ผิวหนัง อาจเก็บตัวอย่างผิวหนังส่งตรวจ ซักประวัติตรวจร่างกายเพิ่มเติม รังีทรวงอก ตรวจเลือด เพื่อหาสาเหตุและรักษาได้เฉพาะเจาะจง







..
การรักษา
ขึ้นอยู่กับสาเหตุ ตัวอย่างเช่น หากเกิดยาให้หยุดยา หากเกิดจากการติดเชื้อแล้วให้ยารักษา บาง ทีมีอาการปวด ให้ยกขาสูงหรือสวมถุงเท้า
•กินยาแอสไพรินและ nsaid เพื่อลดอาการปวดหรือการอักเสบ หรือเอาเท้าแช่น้ำอุ่นเพื่อลดอาการปวดบวมและแช่น้ำเย็นเพื่อลดอาการคันน
•หากมีอาการรุนแรงจำเป็นต้องใช้สเตียรอยด์เช่น เพนนิโซโลน
..
Erythema nodosum is a type of panniculitis, an inflammatory disorder affecting subcutaneous fat. It presents as tender red nodules on the anterior shins. Less commonly, they affect the thighs and forearms.
What are the clinical features of erythema nodosum?
Erythema nodosum presents with tender bilateral erythematous subcutaneous nodules 3–20 cm in diameter erupting over one to several weeks. They are accompanied by fever and joint pain. In 50% the ankle is swollen and painful for up to several weeks. The knees and other joints can also be affected.
...
Common clinical findings
* The nodules are found on the anterior lower legs, knees and arms and rarely on the face and neck.
* They are ill-defined, warm, oval, round or arciform, and without ulceration
* The nodules are initially bright to deep red.
..
Cr:หมอรุจชวนคุย
https://youtu.be/fr7cr2xglCA
...
คลิก!! จองสิทธิ์!! เพื่อรับข้อเสนอพิเศษ
(จำนวนจำกัด)
...
ปรึกษาคุณหมอหรือสอบถามเพิ่มเติมได้ที่
Tel : 063-959-4392 / 063-896-2514
Line: http://line.me/ti/p/@Demedclinic
Line: @Demedclinic
Wechat/Whatsapp: Demedclinic
IG: https://www.instagram.com/drsuparuj
www.facebook.com/drsuparuj
Youtube: https://bit.ly/3p20YLE
Blockdit: https://bit.ly/3d8vYr1
https://vt.tiktok.com/ZSJ141Mdf/
https://mobile.twitter.com/drruj1
www.demedclinic.com / www.demedhaircenter.com
10 ม.ค. 2569
10 ม.ค. 2569
21 ธ.ค. 2568
10 ม.ค. 2569