Last updated: 18 ก.พ. 2566 | 11339 จำนวนผู้เข้าชม |
ผลลัพธ์อาจแตกต่างกันไป แล้วแต่บุคคล
ผลลัพธ์อาจแตกต่างกันไป แล้วแต่บุคคล
ผลลัพธ์อาจแตกต่างกันไป แล้วแต่บุคคล
ผลลัพธ์อาจแตกต่างกันไป แล้วแต่บุคคล
ผลลัพธ์อาจแตกต่างกันไป แล้วแต่บุคคล

แผลเป็นจากสิวแบบนูน Papular acne scar คืออะไร ? ดูแลได้อย่างไร ?
หมอขอแนะนำเกี่ยวกับแผลจากสิว Acne Scar อีกรูปแบบหนึ่งครับซึ่งพบได้บ่อยพอสมควรครับ
<> ส่วนมากคนไข้คิดว่าเป็นสิวอุดตันที่ไม่หายสักทีครับ พอไปบีบก็ไม่มีอะไรออกมาเหมือนสิวอุดตัน และยิ่งทำให้แผลเป็นแบบนูนไม่แข็งชนิดนี้เป็นมากขึ้น
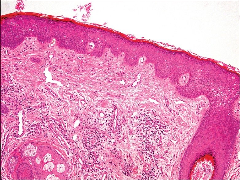
✅Papular Acne Scar หรือ Papular fibrotic scar มีลักษณะแผลเป็นจากสิวอีกรูปแบบหนึ่งที่พบได้แต่พบได้น้อยกว่าแผลเป็น หลุมสิว Atrophic Acne Scar หรือแผลเป็นนูนคีลอยด์ Hypertrophic Acne Scar
***ลักษณะเป็นแผลเป็นนูนสีเนื้อ ไม่แข็ง ขนาดเล็ก 2-4 mm อยู่รวมกันเป็นกลุ่ม cobblestone-like appearance *** https://bit.ly/2X8hba0
- ส่วนมากคนไข้คิดว่าเป็นสิวอุดตันที่ไม่หายสักทีครับ พอไปบีบก็ไม่มีอะไรออกมาเหมือนสิวอุดตัน และยิ่งทำให้แผลเป็นแบบนูนไม่แข็งชนิดนี้เป็นมากขึ้น
- มักเกิดบริเวณ *คาง (พบบ่อยที่สุด) *จมูก หลัง
- พบในคุณผู้ชายมากกว่าคุณผู้หญิงครับ


ผลลัพธ์อาจแตกต่างกันไป แล้วแต่บุคคล
ผลลัพธ์อาจแตกต่างกันไป แล้วแต่บุคคล
ผลลัพธ์อาจแตกต่างกันไป แล้วแต่บุคคล
ผลลัพธ์อาจแตกต่างกันไป แล้วแต่บุคคล
ผลลัพธ์อาจแตกต่างกันไป แล้วแต่บุคคล
ผลลัพธ์อาจแตกต่างกันไป แล้วแต่บุคคล
ผลลัพธ์อาจแตกต่างกันไป แล้วแต่บุคคล




✅การรักษาค่อนข้างใช้เวลา เช่น การผ่าตัด Scar Revision ออก Punch Excision, การใช้เลเซอร์ Fractional Laser ,Ablative Laser, Picosecond Laser หรือ Radiofrequency RF ครับ
✅ดังนั้นเวลาเป็นสิวแล้ว ต้องรีบรักษาอย่างถูกต้องและอย่ากดบีบสิวนะครับ
เพราะจะกลายเป็นแผลเป็นจากสิวได้ค่อนข้างง่าย และการรักษาต้องใช้เวลานานเลยครับ
Cr: หมอรุจชวนคุย
✅Ref
http://www.idoj.in/article.asp?issn=2229-5178;year=2019;volume=10;issue=4;spage=486;epage=487;aulast=Sanke
http://www.jcasonline.com/article.asp?issn=0974-2077;year=2016;volume=9;issue=4;spage=241;epage=243;aulast=Ali
https://www.blockdit.com/posts/605d4023aeeefd0c4e1508a1
https://www.facebook.com/454651174702057/posts/1551287125038451/?d=n
https://www.facebook.com/454651174702057/posts/1789031044597390/
https://bit.ly/3jX9f48
✅ตัวอย่างผลการรักษาหลุมสิวครับ
https://youtu.be/2RVUzD1zkeA
✅แนวทางการรักษาแผลเป็นหลุมสิววิธีต่างๆ
https://youtu.be/74dRyqPBxKY
https://youtu.be/_pwIHah-w-0
https://youtu.be/ZVM2t_6OEbQ
https://youtu.be/spoaUiNfltw
https://youtu.be/lC3UIAy8ITs
https://youtu.be/acWFWlJSVFA
https://youtu.be/WDUhBoUCsME
https://www.blockdit.com/posts/60381c4e03367518a6d564aa
https://www.facebook.com/454651174702057/posts/1769418853225276/
https://bit.ly/2XbJ3dB
https://fb.watch/88cn8QSFL_/
...
คลิก!! จองสิทธิ์!! เพื่อรับข้อเสนอพิเศษ
(จำนวนจำกัด)

...
ปรึกษาคุณหมอหรือสอบถามเพิ่มเติมได้ที่
Tel : 063-959-4392 / 063-896-2514
Line: http://line.me/ti/p/@Demedclinic
Line: @Demedclinic
Wechat/Whatsapp: Demedclinic
IG: https://www.instagram.com/demedclinic
Youtube https://bit.ly/3p20YLE
Blockdit https://bit.ly/3d8vYr1
https://vt.tiktok.com/ZSJ141Mdf/
www.demedclinic.com / www.demedhaircenter.com
10 ม.ค. 2569
10 ม.ค. 2569
10 ม.ค. 2569
21 ธ.ค. 2568