Last updated: 13 ม.ค. 2565 | 3396 จำนวนผู้เข้าชม |
ผื่นแอกทินิกเคอราโทซิส (Actinic keratosis, AK)
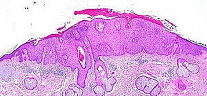
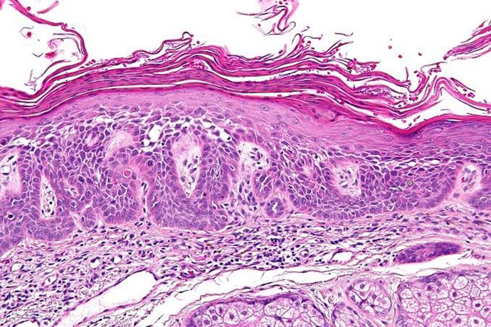
Actinic keratoses หรือ Solar keratoses เป็นผื่นผิวหนังที่มีลักษณะหยาบเป็นขุย ซึ่งเป็นผลมาจากการที่เซลล์ผิวหนังถูกทำลายจากรังสีอัลตราไวโอเลต (UV) จึงมักพบผื่นชนิดนี้บริเวณผิวหนังที่มีการสัมผัสแสงอาทิตย์บ่อยๆ โดยเฉพาะอย่างยิ่งด้านหลังของมือ แขน และใบหน้า
หมอมีคลิปการรักษา Actinic Keratosis ด้วยการจี้เย็น Cryotherapy มาฝากครับ
>> https://youtu.be/LIfMldcJJGI
ผลลัพธ์อาจแตกต่างกันไป แล้วแต่บุคคล
ผลลัพธ์อาจแตกต่างกันไป แล้วแต่บุคคล
ผลลัพธ์อาจแตกต่างกันไป แล้วแต่บุคคล
ผลลัพธ์อาจแตกต่างกันไป แล้วแต่บุคคล
<<>>อาการของ Actinic keratoses
เริ่มต้นอาจพบเป็นเพียงจุดผิวหนังหยาบขรุขระขนาดเล็กในบริเวณที่มีการสัมผัสกับแสงแดดบ่อยๆ หรือรู้สึกว่าผิวหนังบริเวณนั้นเหมือนกระดาษทราย โดยไม่มีอาการอื่นๆร่วมด้วย ผื่นดังกล่าวอาจเป็นๆ หายๆ โดยไม่ต้องรักษา ส่วนใหญ่แล้ว Actinic keratoses มักจะมีขนาดประมาณ 5 ถึง 10 มิลลิเมตร เมื่อเวลาผ่านไปผื่นอาจขยายใหญ่ขึ้น (โดยอาจโตได้มากถึง 20 มิลลิเมตร) และมักจะมีสีผิวเปลี่ยนเป็นสีแดงและตกสะเก็ด หรืออาจจะเปลี่ยนเป็นสีอื่นๆก็ได้ รวมถึงอาจมีการหนาตัว แข็งเหมือนหูด แต่ในบางรายผื่นกลับอ่อนตัวยุบแบนลง ในขณะที่ผิวหนังโดยรอบมักจะมีลักษณะของการถูกทำลายจากแสงอาทิตย์ เช่น เป็นรอยด่างและรอยเหี่ยวย่น ซึ่งหากคุณพบอาการเหล่านี้ก็ควรไปปรึกษาแพทย์



<<>>ภาวะแทรกซ้อนจาก Actinic keratoses
- Actinic keratoses มักจะไม่เป็นอันตรายร้ายแรง
- แต่ถ้าเซลล์ผิวหนังได้รับความเสียหายอย่างมากจนมีลักษณะของการเจริญของเซลล์ผิดปกติก็อาจนำไปสู่โรคมะเร็งผิวหนังชนิด Squamous cell carcinoma ได้ (แต่โอกาสของการเป็นมะเร็งมีน้อยเพียงร้อยละ 6 เท่านั้น)




<<>>สาเหตุของการเกิด Actinic keratoses
สาเหตุของ Actinic keratoses เกิดจากการสัมผัสรังสีอัลตราไวโอเล็ตจากดวงอาทิตย์ซ้ำแล้วซ้ำอีก ด้วยเหตุนี้คนที่อาศัยอยู่ในประเทศที่มีแสงแดดมากก็จะมีความเสี่ยงสูงในการโรค ส่วนปัจจัยอื่นๆ ที่อาจบ่งบอกความเสี่ยงการเป็นโรคนี้ได้แก่
– การมีผิวสีอ่อน ดวงตาสีฟ้าและผมสีบลอนด์หรือสีแดง
– ผิวหนังมีลักษณะของการถูกเผาไหม้ได้ง่ายเวลาโดนแดด
– การใช้เตียงอาบแดด (sunbed)
– การมีระบบภูมิคุ้มกันร่างกายอ่อนแอ เช่น ติดเชื้อ HIV หรือมีการใช้ยาที่กดระบบภูมิคุ้มกัน
นอกจากนี้ภาวะทางพันธุกรรมบางอย่างยังอาจเพิ่มความเสี่ยงต่อการเกิด Actinic keratoses เช่น Xeroderma pigmentosum (ที่ทำให้ผิวหนังมีความไวผิดปกติต่อแสงอาทิตย์) หรือภาวะผิวเผือก (Albinism) เป็นภาวะที่ร่างกายไม่มีเม็ดสีในผิวหนัง เส้นผม และเลนส์ตา) ซึ่งเป็นภาวะผิดปกติที่พบได้น้อย
<<>>การวินิจฉัย Actinic keratoses
การวินิจฉัยสามารถทำได้โดยแพทย์จะถามเกี่ยวกับอาการ ทำการตรวจสอบผิวหนังที่ผิดปกติและดูลักษณะการกระจายของผื่นตามร่างกาย ตรวจด้วยกล้องส่องพิเศษ Dermoscopy
-โดยถ้าพบผื่นขนาดโตผิดปกติ มีอาการเจ็บ มีเลือดออก จะทำการตัดชิ้นเนื้อ (biopsy) จากผิวหนังเพื่อตรวจดูว่ามีการเปลี่ยนแปลงที่จะเป็นมะเร็งผิวหนังหรือไม่

<<>>การรักษา Actinic keratoses
วิธีการรักษาขึ้นอยู่กับความรุนแรงของโรค โดยบางครั้งก็สามารถหายได้เองโดยไม่ต้องรักษา อย่างไรก็ดีผู้ที่ได้รับการวินิจฉัยว่ามี Actinic keratoses ควรดูแลตนเองเป็นพิเศษในเวลาที่ต้องสัมผัสกับแสงแดด
✅การใช้ยาเฉพาะที่
– เจล Diclofenac มีประสิทธิภาพสำหรับผื่นที่เป็นน้อยๆ โดยต้องทายานี้วันละ 2 ครั้ง นาน 3 เดือน
– ครีม 5-fluorouracil สามารถใช้ได้ทั้งกับ Actinic keratoses ที่เป็นเล็กน้อยจนถึงที่เป็นรุนแรงมาก โดยต้องทายาวันละ 1-2 ครั้ง นาน 4 สัปดาห์ และห้ามใช้ในหญิงที่กำลังให้นมลูกเพราะจะเป็นอันตรายต่อเด็ก
– ครีม Imiquimod ต้องใช้ยาสัปดาห์ละ 3 ครั้ง นาน 4 สัปดาห์ การใช้ยานี้อาจมีผลข้างเคียงทำให้ผื่นแดงได้
ถ้าการรักษาด้วยยาไม่ดีขึ้น ก็อาจต้องใช้วิธีอื่นต่อไป
✅การบำบัดด้วยวิธีจี้เย็น (Cryotherapy)
เป็นการใช้ไนโตรเจนเหลวจี้ที่ผื่น มักจะใช้ในกรณีผื่นขนาดเล็กซึ่งไม่ตอบสนองต่อการใช้ยารักษาเฉพาะที่
✅การรักษาโดยใช้แสงกระตุ้น (Photodynamic therapy)
เป็นการใช้ครีมทาผื่นเพื่อทำให้ผื่นไวต่อแสง จากนั้นจึงฉายแสงให้เซลล์ผิวหนังบริเวณที่ทาครีมไว้ให้ไวต่อการกระตุ้นนั้น เกิดการอักเสบและจะถูกแทนที่ด้วยเซลล์ปกติต่อไป
✅ศัลยกรรม
หากลักษณะ Actinic keratoses หนาตัวเป็นก้อน แพทย์อาจแนะนำให้ผ่าตัดและส่งตรวจว่าเป็นโรคมะเร็งผิวหนังหรือไม่
✅การป้องกันการเกิด Actinic keratoses
การเกิด Actinic keratoses เป็นสัญญาณแสดงถึงการเสื่อมตามวัยของเซลล์ผิวหนัง ซึ่งจะถูกทำลายได้จากแสงอาทิตย์ การลดความเสี่ยงของการเกิด Actinic keratoses สามารถทำได้ตามคำแนะนำต่อไปนี้
– หลีกเลี่ยงการสัมผัสแสงแดดแรงจ้า ซึ่งมักจะอยู่ในช่วงเวลา 11:00 น.-15:00 น.
– ใช้ครีมกันแดดที่มีค่าป้องกันแสงแดด (Sun Protective Factor: SPF) อย่างน้อย 25 และให้แน่ใจว่าสามารถป้องกันทั้งรังสี UVA และรังสี UVB
– สวมหมวกปีกกว้างและเสื้อแขนยาวเพื่อปกป้องผิวหนังจากแสงอาทิตย์
– ใช้แว่นตากันแดดที่มีสารป้องกันรังสีอัลตราไวโอเล็ต
– อย่าใช้เตียงอาบแดด
<> หากพบความผิดปกติที่น่าสงสัย เช่น ขนาดใหญ่ขึ้น เป็นแผลเจ็บ ควรรีบไปปรึกษาแพทย์นะครับ
Cr :หมอรุจชวนคุย
..
https://youtu.be/OuRr6DCMg3E
https://youtu.be/ePwtunoUcYE
https://youtu.be/LIfMldcJJGI
..
คลิก!! จองสิทธิ์!! เพื่อรับข้อเสนอพิเศษ
(จำนวนจำกัด)
.
ฝากติดตามข้อมูลด้าน สิว หลุมสิว แผลเป็น เส้นผม และทุกปัญหาผิวกับหมอรุจได้ที่
...
ปรึกษาคุณหมอหรือสอบถามเพิ่มเติมได้ที่
Tel : 063-959-4392 / 063-896-2514
Line: http://line.me/ti/p/@Demedclinic
Line: @Demedclinic
Wechat/Whatsapp: Demedclinic
IG: https://www.instagram.com/drsuparuj
www.facebook.com/drsuparuj
Youtube https://bit.ly/3p20YLE
Blockdit https://bit.ly/3d8vYr1
https://vt.tiktok.com/ZSJ141Mdf/
https://mobile.twitter.com/drruj1
www.demedclinic.com / www.demedhaircenter.com
1 เม.ย 2569