Last updated: 24 ม.ค. 2565 | 5852 จำนวนผู้เข้าชม |
ผลลัพธ์อาจแตกต่างกันไป แล้วแต่บุคคล
ผลลัพธ์อาจแตกต่างกันไป แล้วแต่บุคคล
การใช้เลเซอร์เพิ่มการดูดซึมของยา Laser assisted drug delivery LADD ในการดูแลแผลเป็นนูนคีลอยด์
.
หมอมีคลิปการดูแลแผลเป็นนูนคีลอยด์ด้วยเลเซอร์แบบแบ่งส่วนร่วมกับการทายามาฝากครับ
.
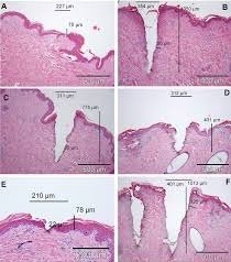
การใช้เลเซอร์แบบแบ่งส่วนเพื่อเพิ่มการดูดซึมทางผิวหนังเป็นช่องทางหนึ่งในการให้ยา
•โดยการใช้ fractional laser ทำให้เกิดช่องทาง โดยเมื่อให้ยาทางผิวหนังตัวยาสาคัญจะถูกดูดซึม ผ่านชั้นผิวหนังซึ่งมีชั้น stratum corneum
•ผิวชั้นนอก Stratum corneum เป็นผิวหนังชั้นบนสุดทาหน้าท่ีเป็นชั้นกาหนดอัตราการดูดซึม ตัว ยาสาคัญที่สามารถผ่านชั้นน้ีได้จะสามารถดูดซึมเพื่อไปออกฤทธิ์ยังช้ันต่างๆ ของผิวหนัง
•โดยอัตราเร็วในการดูดซึมทางผิวหนังข้ึนอยู่กับ หลายปัจจัย เช่น คุณสมบัติของตัวยาสาคัญ รูปแบบตารับยา ความชุ่มนำ้ของผิวหนัง การใช้สารช่วยเพิ่มการดูดซึม หรือการใช้วิธีทางกายภาพเช่นการใช้เลเซอร์ในการเพิ่มการดูดซึม เป็นต้น





.
Laser-Assisted Drug Delivery
What is laser-assisted drug delivery?
.
Laser-assisted drug delivery is a new and promising drug delivery technique that is used to improve the efficacy of local skin treatments. With laser pre-treatment followed by topical drug application, physicians can increase the amount of drug that reaches the skin and thus improve the efficacy of numerous topical treatments.
.
When should laser-assisted drug delivery be used?
.
Laser-assisted drug delivery has been shown to aid the efficacy of topical treatments for a range of conditions. Currently, the technique is primarily offered in conjunction with photodynamic therapy in patients with severe sun-damage or recurring solar keratosis, as well as in conjunction with corticosteroid treatment of various forms of scars. Laser-assisted drug delivery is not an FDA-approved treatment and other approved first-line therapies are often pursued before laser-assisted drug delivery is attempted.



.
What devices are used for laser-assisted drug delivery?
.
The most commonly used devices for laser-assisted drug delivery include the fractional ablative lasers, CO2(wavelength 10,600 nm) and Er:YAG (wavelength 2940 nm).
.
How does it work?
In eligible patients, pretreatment with a fractional ablative laser device is conducted. The laser generates microscopic channels in the skin, penetrating its natural barrier and providing direct access to underlying skin layers. With the subsequent application of a topical drug, the laser channels facilitate drug delivery, providing a faster and greater drug deposition in the skin. The increased drug deposition intensifies the treatment, often resulting in greater efficacy when compared to conventional topical treatments conducted on intact skin.
.
https://bit.ly/3GUlIio
https://youtube.com/shorts/T_GLB0Ajzcg?feature=share
https://youtu.be/c5mrYzuboPM
https://vt.tiktok.com/ZSe4nMkwY/
https://youtu.be/vek-Hn544tQ
https://youtu.be/-H5LcbCDegI
.
คลิก!! จองสิทธิ์!! เพื่อรับข้อเสนอพิเศษ
(จำนวนจำกัด)
.
ฝากติดตามข้อมูลด้าน สิว หลุมสิว แผลเป็น เส้นผม และทุกปัญหาผิวกับหมอรุจได้ที่
...
ปรึกษาคุณหมอหรือสอบถามเพิ่มเติมได้ที่
Tel : 063-959-4392 / 063-896-2514
Line: http://line.me/ti/p/@Demedclinic
Line: @Demedclinic
Wechat/Whatsapp: Demedclinic
IG: https://www.instagram.com/drsuparuj
www.facebook.com/drsuparuj
Youtube https://bit.ly/3p20YLE
Blockdit https://bit.ly/3d8vYr1
https://vt.tiktok.com/ZSJ141Mdf/
https://mobile.twitter.com/drruj1
www.demedclinic.com / www.demedhaircenter.com