Last updated: 26 ก.พ. 2565 | 4664 จำนวนผู้เข้าชม |
ผลลัพธ์อาจแตกต่างกันไป แล้วแต่บุคคล
ผลลัพธ์อาจแตกต่างกันไป แล้วแต่บุคคล
ผลลัพธ์อาจแตกต่างกันไป แล้วแต่บุคคล
ผลลัพธ์อาจแตกต่างกันไป แล้วแต่บุคคล
ผลลัพธ์อาจแตกต่างกันไป แล้วแต่บุคคล
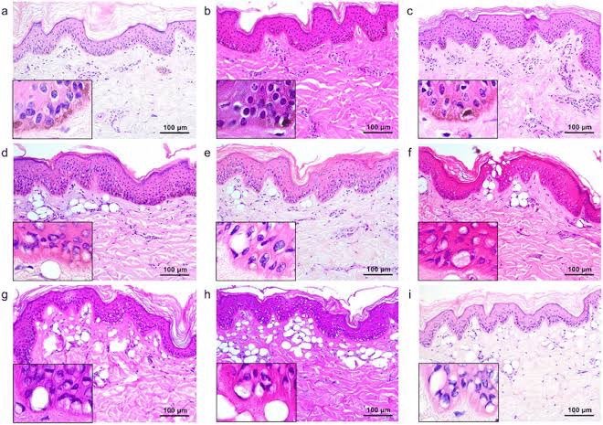
ดูแลหลุมสิว แผลเป็น รอยแตกลาย ด้วย Picosecond Laser เทคนิคเลนส์พิเศษ Micro Lens Array(MLA)
>> เทคโนโลยี Pico second laserที่ปล่อยพลังงาน ในช่วงเวลาที่สั้นมากระดับ Picosecond จึงทำให้เม็ดสีดูดซึมพลังงานจากเลเซอร์และแตกตัวเป็นอนุภาคเล็กๆ ได้ดีโดยที่เนื้อเยื่อรอบๆไม่ได้มีการสะสมพลังงานความร้อน ซึ่งลดการเกิดผลข้างเคียง และใช้ระยะเวลาในการรักษาน้อยกว่า Q-Switched แบบเดิม

>> ลักษณะเลนส์ของ Picosecond Laser โดยทั่วไปจะแบ่งเป็นสองแบบคือ
1.หัว Full Beam ใช้พลังงานสูงในช่วงเวลาที่สั้นมากจึงทำให้สีแตกตัวได้เป็นอนุภาคเล็กๆใช้เวลาในการรักษาน้อยเจ็บน้อยกว่าเกิดผลข้างเคียงน้อย
2. หัว Fractional Picosecond Laser ซึ่งลักษณะของเลนส์จะมีลักษณะคล้ายรังผึ้ง
•จะมีชื่อเรียกหลายชนิดตามแต่ยี่ห้อของเครื่องเลเซอร์เช่น Microlens array (MLA), Focus Lens Array, Diffractive Lens Array เป็นต้น
•ทำให้เกิด LIOB (Laser-induced optical breakdown) คือกระตุ้นการสร้างคอลลาเจนใต้ผิว*


>> Picosecond Laser with Fractionated Micro Lens Array(MLA) มีเลนส์พิเศษลักษณะคล้ายรังผึ้ง ที่ใช้รวมแสงและพลังงานเลเซอร์รวมให้เป็นพลังงานสูง
•ใช้แสงเลเซอร์ยิงไปที่ความลึกของชั้นหนังแท้ด้วยความเร็วและความแม่นยำสูง
•laser ชนิดนี้จาก ทำให้เกิด LIOB***(laser induced optical breakdown) ช่องว่างเล็กๆในชั้น epidermal และ Dermis โดยไม่ได้เกิดจากความร้อน จึง กระตุ้น ให้ สร้างcollagenใหม่ในชั้นหนังแท้ ทำให้หลุมสิวดีขึ้น
•กระตุ้นการสร้างคอลลาเพื่อดันหลุมสิวให้ตื้นขึ้นมา อีกทั้งยังสามารถยิงไปที่เส้นเลือดเพื่อลบรอยแดงรอยดำจากสิวได้อีกด้วย จึงสามารถรักษาได้ทั้งหลุมสิว หน้าใส รูขุมขน แผลเป็น รอยแตกลาย


>> นวัตกรรมเลเซอร์ล่าสุด Picosecond laser เป็นเลเซอร์ที่มี pulse witdths ในระดับ pico seconds (พิโควินาที) ส่งพลังงานแสงความถี่สูงที่ความเร็วสูงสุด1 ต่อ ล้านล้านวินาที (Pico seconds range = one-trillionth of a second=10-12 s)
•โดยทฤษฎีคือการที่มี pulse witdths ลดลงในระดับ pico seconds (ps) จึงเหนือกว่า Q-switched Laser ซึ่งมี pulse witdths ในระดับ nano seconds (นาโนวินาที) โดยการส่งพลังงานแสงความถี่สูง ultra-short picosecond pulses มี pulse witdths ที่แคบมากในระดับ pico seconds โดยมีเป้าหมายไปที่เม็ดสีภายในผิวหนัง ในระยะเวลาที่สั้นมากกระจายตัวไปยังเม็ดสี ทำให้เกิดแรงกระแทกmechanical (acoustic) wave ต่อ Chromophore ที่มีขนาดเล็กกว่า เช่น รอยสัก เม็ดสีเมลานินซึ่งเป็นแรงดันมหาศาลจาก ซึ่งทำให้เม็ดสีแตกกระจายออกจากผลของแรงดัน มากกว่าผลจากอุณหภูมิ
•จึงไม่ทำให้เกิดการสะสมความร้อน ลดผลข้างเคียงที่อาจเกิดขึ้นกับเนื้อเยื่อโดยรอบ ซึ่งเป็นผลมาจาก photoacoustic effect เป็นวิธีที่มีประสิทธิภาพสูงขึ้นจนทำให้เม็ดสีแตกตัวละเอียดมากกว่าเทคโนโลยี Nano second laser และเม็ดสีดังกล่าวจะถูกกำจัดออกตามกลไกธรรมชาติของร่างกายได้อย่างง่ายดาย
•นอกจากนี้ยังมีการใช้ micro lens arrays***เพื่อบีบลำแสงเลเซอร์เป็นจุดเล็กๆหลายๆจุด ซึ่งมีพลังงานแต่ละจุดสูงขึ้นหลายเท่า ทำให้ได้ลักษณะ fractional beam เกิดแรงกระแทกต่อจุดมากขึ้น เกิด Micro-cavity ในผิวหนังชั้น epidermis และ dermis ทำให้เกิดการกระตุ้นการสร้างและเรียงตัวใหม่ของคอลลาเจน รักษารูขุมขนกว้าง แผลเป็นหลุมสิว รวมถึงลดรอยเหี่ยวย่นได้ดียิ่งขึ้น
The picosecond laser with the microlens array (MLA) has been used for the treatment of scars, striae, and rejuvenation. The MLA is an optical hand attachment for the picosecond laser that allows for the delivery of focal zones of highly concentrated energy.
.
Cr:หมอรุจชวนคุย
https://bit.ly/3p6XN8g
https://bit.ly/3LMipwt
https://bit.ly/3p6Uuhv
https://youtu.be/3c_3ouiYxNM
https://youtu.be/eZhiM41ZLY8
https://youtu.be/323craVvWu0
https://youtu.be/-2Nq4edef2g
..
คลิก!! จองสิทธิ์!! เพื่อรับข้อเสนอพิเศษ
(จำนวนจำกัด)
...
ปรึกษาคุณหมอหรือสอบถามเพิ่มเติมได้ที่
Tel : 063-959-4392 / 063-896-2514
Line: http://line.me/ti/p/@Demedclinic
Line: @Demedclinic
Wechat/Whatsapp: Demedclinic
IG: https://www.instagram.com/drsuparuj
www.facebook.com/drsuparuj
Youtube https://bit.ly/3p20YLE
Blockdit https://bit.ly/3d8vYr1
https://vt.tiktok.com/ZSJ141Mdf/
https://mobile.twitter.com/drruj1
www.demedclinic.com / www.demedhaircenter.com