Last updated: 20 เม.ย 2565 | 3592 จำนวนผู้เข้าชม |
ผลลัพธ์อาจแตกต่างกันไป แล้วแต่บุคคล
ผลลัพธ์อาจแตกต่างกันไป แล้วแต่บุคคล
ผลลัพธ์อาจแตกต่างกันไป แล้วแต่บุคคล
ดูแลแผลเป็นนูนคีลอยด์ ด้วยเทคนิค Fractional Ablative Laser+ทายา*โดยไม่ต้องฉีดยา* :Laser assisted drug delivery
>> เทคนิคการใช้เลเซอร์เพิ่มการดูดซึมของยา Laser assisted drug delivery LADD ในการดูแลแผลเป็นนูนคีลอยด์ครับ https://bit.ly/3tniuzq
•การใช้เลเซอร์เพิ่มการดูดซึมของยา Laser assisted drug delivery LADD ในการดูแลแผลเป็นนูนคีลอยด์
>> หมอมีคลิปการดูแลแผลเป็นนูนคีลอยด์ด้วยเลเซอร์แบบแบ่งส่วนร่วมกับการทายามาฝากครับ
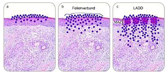
>> การใช้เลเซอร์แบบแบ่งส่วนเพื่อเพิ่มการดูดซึมทางผิวหนังเป็นช่องทางหนึ่งในการให้ยา โดยการใช้ fractional laser ทำให้เกิดช่องทาง โดยเมื่อให้ยาทางผิวหนังตัวยาสาคัญจะถูกดูดซึม ผ่านชั้นผิวหนังซึ่งมีชั้น stratum corneum ผิวชั้นนอก Stratum corneum เป็นผิวหนังชั้นบนสุดทำหน้าท่ีเป็นชั้นกำหนดอัตราการดูดซึม ตัว ยาสาคัญที่สามารถผ่านชั้นน้ีได้จะสามารถดูดซึมเพื่อไปออกฤทธิ์ยังช้ันต่างๆ ของผิวหนัง




•โดยอัตราเร็วในการดูดซึมทางผิวหนังข้ึนอยู่กับ หลายปัจจัย เช่น คุณสมบัติของตัวยาสาคัญ รูปแบบตารับยา ความชุ่มนำ้ของผิวหนัง การใช้สารช่วยเพิ่มการดูดซึม หรือการใช้วิธีทางกายภาพเช่นการใช้เลเซอร์ในการเพิ่มการดูดซึม เป็นต้น
•เลเซอร์ที่มีการศึกษาและใช้ในการรักษาคือ fractional ablative lasers, CO2(wavelength 10,600 nm) และ Er:YAG (wavelength 2940 nm)
•โดยเลเซอร์นอกจากจะเป็นการเปิดช่องที่ผิว Microthermal zone (MTZ) พลังงานของเลเซอร์ยังช่วยในการกระตุ้นการซ่อมแซมของแผเป็นนูนคีย์รอยให้มีการเรียงตัวของคอลลาเจนที่ดีขึ้นด้วยครับ
•หลังจากการทำเลเซอร์หมอจะทาตัวยาเช่น สเตียรอยด์ steroid ซึ่งมีการใช้กันมากที่สุดซึ่งจะไปยับยั้งการสร้างเส้นใหญ่ในแผลเป็นนูนคีลอยด์ ยาอื่นๆที่มีการใช้เช่น 5-FU, Bleomycin เป็นต้น
•การใช้เลเซอร์แบบแบ่งส่วน Fractional Ablative Laser สามารถช่วยเปิดช่องที่ผิวได้อย่างสม่ำเสมอดังนั้นผลการรักษาแผลเป็นนูนจะเรียบเนียนสม่ำเสมอกว่าการฉีดยาครับ
•สามารถใช้ร่วมกับการฉีดยาได้โดยอาจจะฉีดบริเวณที่มีความแข็งนูนหนามากเฉพาะและใช้เลเซอร์ดูแลในส่วนอื่นๆ
•ผลการรักษาส่วนมากจะการฉีดยาจะได้ผลเร็วกว่าครับดังนั้นจึงเป็นทางเลือกสำหรับคนที่มีแผลเป็นนูนเยอะมาก ทนความเจ็บจากการฉีดยาไม่ไหว ใช้เป็นการรักษาเสริมร่วมกับการฉีดยา เป็นต้นครับ










>> Laser-Assisted Drug Delivery LADDWhat is laser-assisted drug delivery?Laser-assisted drug delivery is a new and promising drug delivery technique that is used to improve the efficacy of local skin treatments. With laser pre-treatment followed by topical drug application, physicians can increase the amount of drug that reaches the skin and thus improve the efficacy of numerous topical treatments.
..
Cr: หมอรุจชวนคุย
.
https://bit.ly/3Jnr9HJ
https://www.blockdit.com/posts/62354986b3d9e56e3200760c
https://youtu.be/EYPMdne8ero
https://youtube.com/shorts/SU3WZLrI4qI?feature=share
https://vt.tiktok.com/ZSdRuhrwV/?k=1
https://vt.tiktok.com/ZSd8doNDc/?k=1
https://vt.tiktok.com/ZSd8RedcK/?k=1
https://youtu.be/4Ysgas98xgU
https://youtube.com/shorts/m-3HnPzxvuo?feature=share
https://vt.tiktok.com/ZSd8js4he/?k=1
...
คลิก!! จองสิทธิ์!! เพื่อรับข้อเสนอพิเศษ
(จำนวนจำกัด)

...
ปรึกษาคุณหมอหรือสอบถามเพิ่มเติมได้ที่
Tel : 063-959-4392 / 063-896-2514
Line: http://line.me/ti/p/@Demedclinic
Line: @Demedclinic
Wechat/Whatsapp: Demedclinic
IG: https://www.instagram.com/drsuparuj
www.facebook.com/drsuparuj
Youtube: https://bit.ly/3p20YLE
Blockdit: https://bit.ly/3d8vYr1
https://vt.tiktok.com/ZSJ141Mdf/
https://mobile.twitter.com/drruj1
www.demedclinic.com / www.demedhaircenter.com
.
10 พ.ค. 2569
10 พ.ค. 2569